Katheterbasierte Aortenklappen-Implantationen (TAVI) der neuesten Generation

Was ist eine Aortenklappenstenose?

Die Aortenklappenstenose ist die häufigste Erkrankung der Herzklappen. Hierbei verkalkt und versteift die Herzklappe und führt zu einer Behinderung des Blutstroms aus dem linken Ventrikel. Mit zunehmendem Alter kann es zu einer Verkalkung der Klappentaschen kommen. Dies hat zur Folge, dass sich die Klappe nicht mehr richtig öffnen kann und eine Engstelle entsteht.
So kommt es zu einer Unterversorgung des Körpers mit Sauerstoff. Diese äußert sich durch Symptome wie Kurzatmigkeit, Schwindel und eine grundsätzlich reduzierte körperliche Belastbarkeit.

Ein Ersatz der Herzklappe wird bei jüngeren Patienten im Rahmen einer Operation durchgeführt. Im höheren Alter erfolgt der Klappenersatz meist durch einen kathetergestützten Eingriff über die Leiste (TAVI).

Als eines von fünf Spitzenzentren in Deutschland führt das Team des Herzzentrums Lahr seit Oktober 2023 katheterbasierte Aortenklappen-Implantationen (TAVI) der neuesten Generation des Klappenersatzes Evolut™ FX durch. Der Klappenersatz hat kürzlich die europaweite CE-Zulassung erhalten.

Die Einführung dieses neuen TAVI-Systems im Herzzentrum Lahr unterstreicht unseren unermüdlichen Einsatz, unseren Patient*innen stets die modernsten und sichersten Methoden anzubieten.

- Professor Dr. Ralf Sodian, Chefarzt der Klinik für Herz-, Thorax- und Gefäßchirurgie.

Was ist eine kathetergestützte Aortenklappenimplantation?

TAVI: Minimalinvasives Verfahren bei Aortenklappenerkrankungen

Die Transkatheter-Aortenklappenimplantation (TAVI) ist ein minimalinvasives Verfahren, bei dem die Herzklappenprothese über einen Katheter eingeführt wird, der entweder durch die Leistenarterie oder die Herzspitze geleitet wird. Eine TAVI wird am schlagenden Herzen durchgeführt und erfordert teilweise nur eine Lokalanästhesie. Anders als bei herkömmlichen Verfahren wird bei einer TAVI die alte Herzklappe nicht ausgetauscht, sondern durch eine neue Herzklappenprothese überdeckt. Dieses Verfahren wird überwiegend bei Aortenklappenerkrankungen angewandt.

Vorteile der neuesten Generation des Transkatheter-Herzklappenersatzes

Das neue TAVI-System wurde grundlegend optimiert und mit neuen Eigenschaften ausgestattet. Die wesentliche Verbesserung sind integrierte Röntgenmarker, die den behandelnden Ärzt*innen als präzise Orientierungspunkte dienen, um die Aortenklappe optimal zu platzieren und auszurichten. Zusätzlich wurde das Einführungs- und Freisetzungssystem der Herzklappe für eine maximale Präzision weiterentwickelt. Die verbesserte Stabilitätsschicht gewährleistet eine erhöhte Unterstützung und Kontrolle des Katheters während des Eingriffs. Der Bewegungsspielraum wurde erweitert und das System passt sich jetzt flexibel der individuellen Anatomie der Patient*innen an.

Unter der Leitung von Dr. Holger Schröfel, Oberarzt und Leiter des Fachbereichs strukturelle Herzerkrankungen, hat das Team des Herzzentrums Lahr Patient*innen erfolgreich mit dem neuen TAVI-System Evolut™ FX im Herzzentrum Lahr behandelt. Das MEDICLIN Herzzentrum Lahr bleibt seinem Ruf als Vorreiter in der modernen Herzmedizin treu und setzt mit dieser neuen Technologie einen Meilenstein für die Sicherheit seiner Patient*innen.

Die enge Zusammenarbeit zwischen unseren Kardiolog*innen, Herzchirurg*innen, Anästhesist*innen und dem Pflegepersonal ermöglicht es uns, neue Methoden schnellstmöglich zu etablieren und somit die Patientensicherheit zu erhöhen.

- Privatdozent Dr. Kambis Mashayekhi, Chefarzt der Klinik für Innere Medizin und Kardiologie

TAVI OP

Video TAVI – Transkatheter-Aortenklappenimplantation

Im Video sehen Sie, wie wir im MEDICLIN Herzzentrum Lahr eine Klappenprothese schonend über das Gefäßsystem in das Herz einbringen.

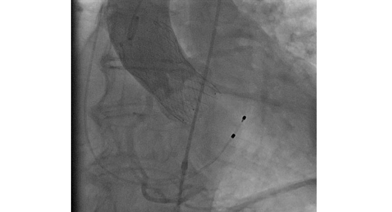
Angiographie: neue TAVI-Prothese, Medtronic Evolut FX

Angiographie: neue TAVI-Prothese, Medtronic Evolut FX.

Evolut FX-Team

Evolut FX-Team (v.l.n.r.): Florian Müller (Fa. Medtronic), Elke Fischer (OTA HZL), Dr. Philip Gabriel (Anästhesie HZL), Tabea Hohmann (OTA/Katheterlabor HZL), Dr. Ulrich Gerckens (Gastarzt Kardiologe/Fa. Medtronic), Dr. Holger Schröfel (Chirurgie/Kardiologie HZL), Farzaneh Tehrani (Fa. Medtronic), Dr. Sven Moos (Kardiologie HZL)

Weitere Informationen zum Download

Ihre Ansprechpartner

Prof. Dr. med. Ralf Sodian

Prof. Dr. med. Ralf Sodian

Chefarzt der Klinik für Herz-, Thorax- und Gefäßchirurgie

MEDICLIN Herzzentrum Lahr

Dr. med. Holger Schröfel

Dr. med. Holger Schröfel

Oberarzt der Klinik für Herz-, Thorax- und Gefäßchirurgie/Klinik für Innere Medizin und Kardiologie Leiter strukturelle Herzerkrankungen

MEDICLIN Herzzentrum Lahr

Stilisiertes grünes Person-Symbol mit kurzen Haaren und V-förmigem Kragen auf hellgrünem Hintergrund

Prof. Dr. med. Kambis Mashayekhi

Chefarzt der Klinik für Innere Medizin und Kardiologie

MEDICLIN Herzzentrum Lahr